Addressing the obstacles to confident diagnosis:
Stay up-to-date and get informed about interesting topics. Or get in touch with our sales department.
As new, personalized treatments are developed to slow disease progression, there is a vital need for imaging methods that can detect response to therapy at early follow-up times. The radiologist has an invaluable role in this process, as imaging provides direct insight into the various factors and treatments that delay or accelerate disease onset.
Here are some of the ways we are making disease progression (or regression) easier for radiologists to monitor.

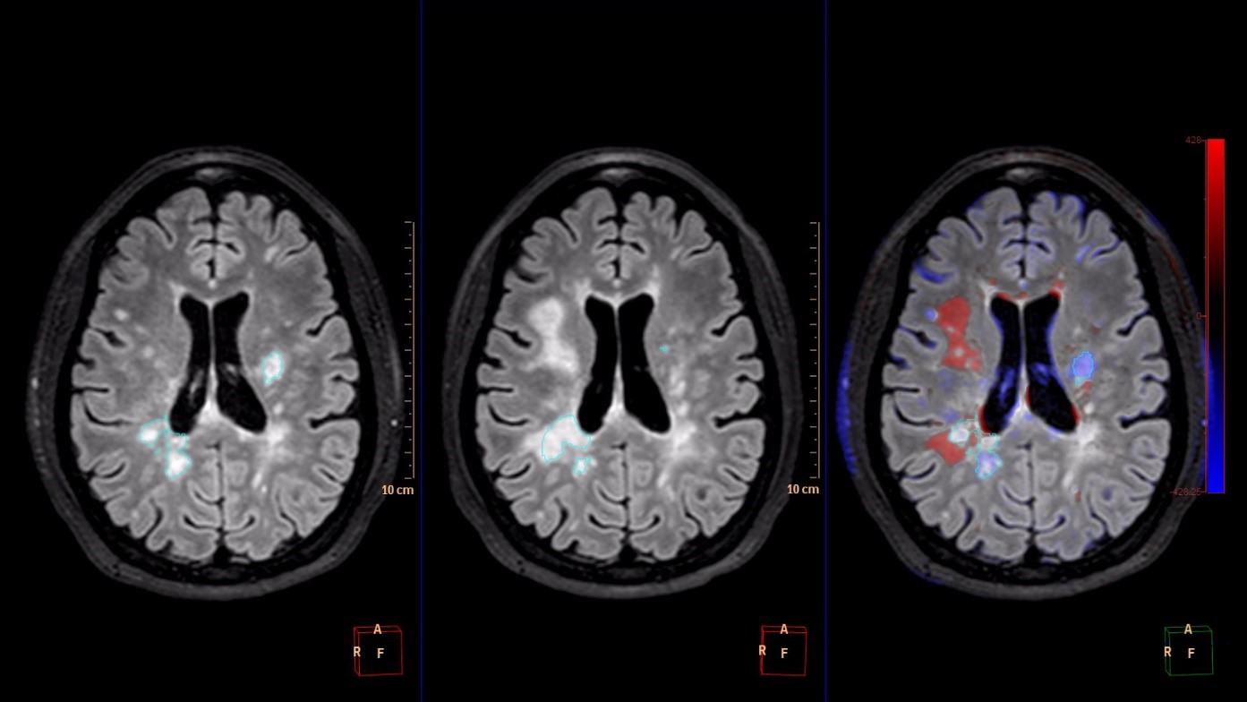
Radiologists are experiencing an increasing need for tools that better support the growing number of patients with neurological disorders such as dementia, stroke and multiple sclerosis. Critical to the understanding of these diseases and the development of effective treatments, is the radiologist’s ability to track their progression across patient groups, and the advancement of tools they have to support these efforts.
IntelliSpace Portal 9.0 offers Longitudinal Brain Imaging (LoBI), an application to help clinicians visualize subtle differences in the brain images of the same individual across time, which may be used by clinicians as the assessment of neurological disease progression. Multiple images are automatically aligned and registered to simplify comparison, and the application provides editing tools and volumetric quantification. Comparative Brain Imaging (CoBi) functionality even allows users to track subtle differences in the brain by subtracting scans taken at different points in time.
Technology that detects subtle differences in the brain over long periods of time may help in the assessment of neurological disease progression.
Radiologists are experiencing an increasing need for tools that better support the growing number of patients with neurological disorders such as dementia, stroke and multiple sclerosis. Critical to the understanding of these diseases and the development of effective treatments, is the radiologist’s ability to track their progression across patient groups, and the advancement of tools they have to support these efforts.
IntelliSpace Portal 9.0 offers Longitudinal Brain Imaging (LoBI), an application to help clinicians visualize subtle differences in the brain images of the same individual across time, which may be used by clinicians as the assessment of neurological disease progression. Multiple images are automatically aligned and registered to simplify comparison, and the application provides editing tools and volumetric quantification. Comparative Brain Imaging (CoBi) functionality even allows users to track subtle differences in the brain by subtracting scans taken at different points in time.
Technology that detects subtle differences in the brain over long periods of time may help in the assessment of neurological disease progression.
Radiologists are experiencing an increasing need for tools that better support the growing number of patients with neurological disorders such as dementia, stroke and multiple sclerosis. Critical to the understanding of these diseases and the development of effective treatments, is the radiologist’s ability to track their progression across patient groups, and the advancement of tools they have to support these efforts.
IntelliSpace Portal 9.0 offers Longitudinal Brain Imaging (LoBI), an application to help clinicians visualize subtle differences in the brain images of the same individual across time, which may be used by clinicians as the assessment of neurological disease progression. Multiple images are automatically aligned and registered to simplify comparison, and the application provides editing tools and volumetric quantification. Comparative Brain Imaging (CoBi) functionality even allows users to track subtle differences in the brain by subtracting scans taken at different points in time.
Technology that detects subtle differences in the brain over long periods of time may help in the assessment of neurological disease progression.
MRI serves as the current gold standard in tumor treatment response monitoring. However, prognostic information cannot be obtained until weeks after the initial treatment. It is crucial for radiologists to be able to differentiate recurrent tumors from treatment-induced changes such as radiation necrosis. This means there is a vital need for methods that can detect response to therapy at early follow-up times.
Through Philips 3D APT, the only molecular contrast for glioma tumor grading and treatment follow-up, radiologists can differentiate tumor progression from treatment effect. 3D APT uses the presence of endogenous cellular proteins to produce an MR signal that directly correlates with cell proliferation, a marker of tumor activity.
Through the support of Philips 3D APT and its ability to differentiate tumor progression from treatment effects, radiologists can now make improved clinical decisions for their patients.
Changes in lesion size in response (or lack of response) to treatment is often measured manually on PACS systems and dictated in medical records with a reference to the comparison date. Although this standard was designed to be simple, the attempt to implement the Response Evaluation Criteria in Solid Lesions (RECIST) with manual PACS or similar methods by locating and measuring lesions in a follow-up exam can be time consuming. Computing percentage change in lesion diameter is often calculated using a spreadsheet or a hand-held calculator.
The Philips IntelliSpace Portal’s automated Multi-Modality Lesion Tracking (MMTT) application provides features and tools to decrease the time required to implement RECIST into disease progression tracking, as well as other standard and emerging response criteria. Baseline and follow-up images from multiple modalities can be loaded into the MMTT application, where the RECIST criteria – based on percent change in lesion diameter – is then calculated by the system in a results screen that shows physicians treatment response categorization.
Enabling an average total time savings of 6:17 minutes per evaluation in comparison with PACS, the Multi-Modality Lesion Tracking application may lead to frequent use of imaging response criteria, facilitating enhanced care management for cancer patients.
Changes in lesion size in response (or lack of response) to treatment is often measured manually on PACS systems and dictated in medical records with a reference to the comparison date. Although this standard was designed to be simple, the attempt to implement the Response Evaluation Criteria in Solid Lesions (RECIST) with manual PACS or similar methods by locating and measuring lesions in a follow-up exam can be time consuming. Computing percentage change in lesion diameter is often calculated using a spreadsheet or a hand-held calculator.
The Philips IntelliSpace Portal’s automated Multi-Modality Tumor Tracking (MMTT) application provides features and tools to decrease the time required to implement RECIST into disease progression tracking, as well as other standard and emerging response criteria. Baseline and follow-up images from multiple modalities can be loaded into the MMTT application, where the RECIST criteria – based on percent change in lesion diameter – is then calculated by the system in a results screen that shows physicians treatment response categorization.
Enabling an average total time savings of 6:17 minutes per evaluation in comparison with PACS, the Multi-Modality Tumor Tracking application may lead to frequent use of imaging response criteria, facilitating enhanced care management for cancer patients.
Learn how Philips solutions help radiologists overcome obstacles to confident diagnosis. See them all:
I want to learn more
You are about to visit a Philips global content page
ContinueTīmekļa vietne ir paredzēta tikai personām, kuras izmanto medicīniskās ierīces kā profesionāļi, tostarp personām, kas praktizē medicīnas profesijās, personām, kas darbojas veselības aprūpes iestāžu labā vai organizācijām, kas tirgo medicīnas ierīces kā profesionāļi.
Vai esat persona, kas atbilst iepriekš minētajiem kritērijiem?