CT 5300

CT scanner​

Find similar products

Philips CT 5300 is intelligence reimagined, leveraging AI for new clinical capabilities and workflow advances, with virtual tools for real-time collaboration and remote services to enhance system performance and uptime. We’ve built incredible intelligence into every aspect of this high-performing system from start to finish. Drive new levels of confidence with a CT system designed to help you see beyond your current imaging challenges, empowering your team and patient care. CT Smart Workflow, a comprehensive suite of AI-enabled capabilities, delivers precision in dose, speed and image quality across a wide range of applications, including cardiac, bariatric, interventional and trauma. An AI-enabled camera for patient positioning saves time and improves accuracy and consistency of positioning. See value for a lifetime through remote services with predictive monitoring and our innovative Tube for Life guarantee¹.​

Features
Apply powerful AI reconstruction for lower dose, higher image quality
Apply powerful AI reconstruction for lower dose, higher image quality

Apply powerful AI reconstruction for lower dose, higher image quality

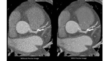
Discover Precise Image AI-based reconstruction for lower dose and higher image quality. Simultaneously, you can see 80% lower radiation dose, 85% lower noise and 60% improved low-contrast detectability.²

Apply powerful AI reconstruction for lower dose, higher image quality

Apply powerful AI reconstruction for lower dose, higher image quality
Discover Precise Image AI-based reconstruction for lower dose and higher image quality. Simultaneously, you can see 80% lower radiation dose, 85% lower noise and 60% improved low-contrast detectability.²

Apply powerful AI reconstruction for lower dose, higher image quality

Discover Precise Image AI-based reconstruction for lower dose and higher image quality. Simultaneously, you can see 80% lower radiation dose, 85% lower noise and 60% improved low-contrast detectability.²
Click here for more information
Apply powerful AI reconstruction for lower dose, higher image quality
Apply powerful AI reconstruction for lower dose, higher image quality

Apply powerful AI reconstruction for lower dose, higher image quality

Discover Precise Image AI-based reconstruction for lower dose and higher image quality. Simultaneously, you can see 80% lower radiation dose, 85% lower noise and 60% improved low-contrast detectability.²
Advance your cardiac imaging capabilities
Advance your cardiac imaging capabilities

Advance your cardiac imaging capabilities

Precise Image for advanced cardiac scanning helps you take clinical confidence to the next level. See why CT 5300 is built for cardiac. Precise Cardiac retrospectively compensates for cardiac motion to improve visualization of the coronary arteries during CT imaging. This improves diagnostic confidence in challenging patients with high heart rates.

Advance your cardiac imaging capabilities

Advance your cardiac imaging capabilities
Precise Image for advanced cardiac scanning helps you take clinical confidence to the next level. See why CT 5300 is built for cardiac. Precise Cardiac retrospectively compensates for cardiac motion to improve visualization of the coronary arteries during CT imaging. This improves diagnostic confidence in challenging patients with high heart rates.

Advance your cardiac imaging capabilities

Precise Image for advanced cardiac scanning helps you take clinical confidence to the next level. See why CT 5300 is built for cardiac. Precise Cardiac retrospectively compensates for cardiac motion to improve visualization of the coronary arteries during CT imaging. This improves diagnostic confidence in challenging patients with high heart rates.
Click here for more information
Advance your cardiac imaging capabilities
Advance your cardiac imaging capabilities

Advance your cardiac imaging capabilities

Precise Image for advanced cardiac scanning helps you take clinical confidence to the next level. See why CT 5300 is built for cardiac. Precise Cardiac retrospectively compensates for cardiac motion to improve visualization of the coronary arteries during CT imaging. This improves diagnostic confidence in challenging patients with high heart rates.
Improve image quality even at ultra-low dose levels​
Improve image quality even at ultra-low dose levels​

Improve image quality even at ultra-low dose levels​

The new NanoPanel Precise detector paired with Precise Image allows for improved image quality, even at ultra-low dose levels.

Improve image quality even at ultra-low dose levels​

Improve image quality even at ultra-low dose levels​
The new NanoPanel Precise detector paired with Precise Image allows for improved image quality, even at ultra-low dose levels.

Improve image quality even at ultra-low dose levels​

The new NanoPanel Precise detector paired with Precise Image allows for improved image quality, even at ultra-low dose levels.
Click here for more information
Improve image quality even at ultra-low dose levels​
Improve image quality even at ultra-low dose levels​

Improve image quality even at ultra-low dose levels​

The new NanoPanel Precise detector paired with Precise Image allows for improved image quality, even at ultra-low dose levels.
Empower your workflow with a comprehensive suite of AI-enabled advances​
Empower your workflow with a comprehensive suite of AI-enabled advances​

Empower your workflow with a comprehensive suite of AI-enabled advances​

An intuitive user interface and smart automation let you focus on your patients rather than on repetitive system tasks. The Precise Position AI-enabled smart positioning camera saves time while improving accuracy of vertical centering relative to manual positioning by up to 50%, increasing consistency from user to user by up to 70% and reducing patient positioning time by up to 23%³. Precise Rib⁴ offers fast results for assessing rib fractures in critical patients to help speed up time to diagnosis. Precise Spine automatically labels the vertebrae and creates an axial series of images, based on the spinal cord.

Empower your workflow with a comprehensive suite of AI-enabled advances​

Empower your workflow with a comprehensive suite of AI-enabled advances​
An intuitive user interface and smart automation let you focus on your patients rather than on repetitive system tasks. The Precise Position AI-enabled smart positioning camera saves time while improving accuracy of vertical centering relative to manual positioning by up to 50%, increasing consistency from user to user by up to 70% and reducing patient positioning time by up to 23%³. Precise Rib⁴ offers fast results for assessing rib fractures in critical patients to help speed up time to diagnosis. Precise Spine automatically labels the vertebrae and creates an axial series of images, based on the spinal cord.

Empower your workflow with a comprehensive suite of AI-enabled advances​

An intuitive user interface and smart automation let you focus on your patients rather than on repetitive system tasks. The Precise Position AI-enabled smart positioning camera saves time while improving accuracy of vertical centering relative to manual positioning by up to 50%, increasing consistency from user to user by up to 70% and reducing patient positioning time by up to 23%³. Precise Rib⁴ offers fast results for assessing rib fractures in critical patients to help speed up time to diagnosis. Precise Spine automatically labels the vertebrae and creates an axial series of images, based on the spinal cord.
Click here for more information
Empower your workflow with a comprehensive suite of AI-enabled advances​
Empower your workflow with a comprehensive suite of AI-enabled advances​

Empower your workflow with a comprehensive suite of AI-enabled advances​

An intuitive user interface and smart automation let you focus on your patients rather than on repetitive system tasks. The Precise Position AI-enabled smart positioning camera saves time while improving accuracy of vertical centering relative to manual positioning by up to 50%, increasing consistency from user to user by up to 70% and reducing patient positioning time by up to 23%³. Precise Rib⁴ offers fast results for assessing rib fractures in critical patients to help speed up time to diagnosis. Precise Spine automatically labels the vertebrae and creates an axial series of images, based on the spinal cord.
Do more while spending more time with your patient​
Do more while spending more time with your patient​

Do more while spending more time with your patient​

OnPlan patient-side gantry controls allow you to do more while you're with your patient, while facilitating inter-operator consistency and reducing time to results. 84% of users agree that patient-side gantry controls have improved patient satisfaction.⁵ OnPlan functionality and CT Smart Workflow combine to reduce total lung screening workflow time by 50%.⁶

Do more while spending more time with your patient​

Do more while spending more time with your patient​
OnPlan patient-side gantry controls allow you to do more while you're with your patient, while facilitating inter-operator consistency and reducing time to results. 84% of users agree that patient-side gantry controls have improved patient satisfaction.⁵ OnPlan functionality and CT Smart Workflow combine to reduce total lung screening workflow time by 50%.⁶

Do more while spending more time with your patient​

OnPlan patient-side gantry controls allow you to do more while you're with your patient, while facilitating inter-operator consistency and reducing time to results. 84% of users agree that patient-side gantry controls have improved patient satisfaction.⁵ OnPlan functionality and CT Smart Workflow combine to reduce total lung screening workflow time by 50%.⁶
Click here for more information
Do more while spending more time with your patient​
Do more while spending more time with your patient​

Do more while spending more time with your patient​

OnPlan patient-side gantry controls allow you to do more while you're with your patient, while facilitating inter-operator consistency and reducing time to results. 84% of users agree that patient-side gantry controls have improved patient satisfaction.⁵ OnPlan functionality and CT Smart Workflow combine to reduce total lung screening workflow time by 50%.⁶
Access enhanced capabilities for fast, confident interventional procedures​
Access enhanced capabilities for fast, confident interventional procedures​

Access enhanced capabilities for fast, confident interventional procedures​

New interventional controls, along with dual monitors, help reduce interventional procedure time by up to 16%.⁷ Bull’s-eye needle guidance enhances workflow for quick, confident interventional CT procedures, while the new Interventional Helical Check allows the operator to confirm treatment success in just one click.

Access enhanced capabilities for fast, confident interventional procedures​

Access enhanced capabilities for fast, confident interventional procedures​
New interventional controls, along with dual monitors, help reduce interventional procedure time by up to 16%.⁷ Bull’s-eye needle guidance enhances workflow for quick, confident interventional CT procedures, while the new Interventional Helical Check allows the operator to confirm treatment success in just one click.

Access enhanced capabilities for fast, confident interventional procedures​

New interventional controls, along with dual monitors, help reduce interventional procedure time by up to 16%.⁷ Bull’s-eye needle guidance enhances workflow for quick, confident interventional CT procedures, while the new Interventional Helical Check allows the operator to confirm treatment success in just one click.
Click here for more information
Access enhanced capabilities for fast, confident interventional procedures​
Access enhanced capabilities for fast, confident interventional procedures​

Access enhanced capabilities for fast, confident interventional procedures​

New interventional controls, along with dual monitors, help reduce interventional procedure time by up to 16%.⁷ Bull’s-eye needle guidance enhances workflow for quick, confident interventional CT procedures, while the new Interventional Helical Check allows the operator to confirm treatment success in just one click.
Connect and collaborate for productivity​
Connect and collaborate for productivity​

Connect and collaborate for productivity​

Extend your team’s capabilities with Virtual Imaging tools for collaboration, educate and train your team over the lifetime of your scanner, and facilitate remote exam card management to standardize protocols.

Connect and collaborate for productivity​

Connect and collaborate for productivity​
Extend your team’s capabilities with Virtual Imaging tools for collaboration, educate and train your team over the lifetime of your scanner, and facilitate remote exam card management to standardize protocols.

Connect and collaborate for productivity​

Extend your team’s capabilities with Virtual Imaging tools for collaboration, educate and train your team over the lifetime of your scanner, and facilitate remote exam card management to standardize protocols.
Click here for more information
Connect and collaborate for productivity​
Connect and collaborate for productivity​

Connect and collaborate for productivity​

Extend your team’s capabilities with Virtual Imaging tools for collaboration, educate and train your team over the lifetime of your scanner, and facilitate remote exam card management to standardize protocols.
Future proof your investment through AI-enabled clinical applications and service innovations
Future proof your investment through AI-enabled clinical applications and service innovations

Future proof your investment through AI-enabled clinical applications and service innovations

CT 5300 is designed to seamlessly integrate Philips and third-party applications directly into the workflow to enhance clinical decisions and patient triage. Connect to new AI-enabled applications and tools as the AI marketplace evolves. Remote service capabilities and AI-driven service innovations enhance system performance and uptime. Upgradeable platforms and flexible business models help your department maintain speed and performance.

Future proof your investment through AI-enabled clinical applications and service innovations

Future proof your investment through AI-enabled clinical applications and service innovations
CT 5300 is designed to seamlessly integrate Philips and third-party applications directly into the workflow to enhance clinical decisions and patient triage. Connect to new AI-enabled applications and tools as the AI marketplace evolves. Remote service capabilities and AI-driven service innovations enhance system performance and uptime. Upgradeable platforms and flexible business models help your department maintain speed and performance.

Future proof your investment through AI-enabled clinical applications and service innovations

CT 5300 is designed to seamlessly integrate Philips and third-party applications directly into the workflow to enhance clinical decisions and patient triage. Connect to new AI-enabled applications and tools as the AI marketplace evolves. Remote service capabilities and AI-driven service innovations enhance system performance and uptime. Upgradeable platforms and flexible business models help your department maintain speed and performance.
Click here for more information
Future proof your investment through AI-enabled clinical applications and service innovations
Future proof your investment through AI-enabled clinical applications and service innovations

Future proof your investment through AI-enabled clinical applications and service innovations

CT 5300 is designed to seamlessly integrate Philips and third-party applications directly into the workflow to enhance clinical decisions and patient triage. Connect to new AI-enabled applications and tools as the AI marketplace evolves. Remote service capabilities and AI-driven service innovations enhance system performance and uptime. Upgradeable platforms and flexible business models help your department maintain speed and performance.
Reduce unplanned downtime with Remote Maintenance Services​
Reduce unplanned downtime with Remote Maintenance Services​

Reduce unplanned downtime with Remote Maintenance Services​

Proactive and remote service maintenance allows us to resolve many issues without the need for on-site service. Philips predictively monitors more than 20 strategic parts, along with system performance so that 38% of issues are resolved without the need for on-site service and with a high first-time-fix rate of 84% for on-site visits, improving system availability⁸. That extra 136 hours/year⁹ and 30% less downtime⁹ offer many additional hours of operational availability to treat more patients.

Reduce unplanned downtime with Remote Maintenance Services​

Reduce unplanned downtime with Remote Maintenance Services​
Proactive and remote service maintenance allows us to resolve many issues without the need for on-site service. Philips predictively monitors more than 20 strategic parts, along with system performance so that 38% of issues are resolved without the need for on-site service and with a high first-time-fix rate of 84% for on-site visits, improving system availability⁸. That extra 136 hours/year⁹ and 30% less downtime⁹ offer many additional hours of operational availability to treat more patients.

Reduce unplanned downtime with Remote Maintenance Services​

Proactive and remote service maintenance allows us to resolve many issues without the need for on-site service. Philips predictively monitors more than 20 strategic parts, along with system performance so that 38% of issues are resolved without the need for on-site service and with a high first-time-fix rate of 84% for on-site visits, improving system availability⁸. That extra 136 hours/year⁹ and 30% less downtime⁹ offer many additional hours of operational availability to treat more patients.
Click here for more information
Reduce unplanned downtime with Remote Maintenance Services​
Reduce unplanned downtime with Remote Maintenance Services​

Reduce unplanned downtime with Remote Maintenance Services​

Proactive and remote service maintenance allows us to resolve many issues without the need for on-site service. Philips predictively monitors more than 20 strategic parts, along with system performance so that 38% of issues are resolved without the need for on-site service and with a high first-time-fix rate of 84% for on-site visits, improving system availability⁸. That extra 136 hours/year⁹ and 30% less downtime⁹ offer many additional hours of operational availability to treat more patients.
See value for a lifetime with our industry-first Tube for Life guarantee¹​¹
See value for a lifetime with our industry-first Tube for Life guarantee¹​

See value for a lifetime with our industry-first Tube for Life guarantee¹​

The vMRC is no ordinary tube, and our industry-first Tube for Life guarantee can help lower operating costs by an estimated $420,000 over the life of your system.¹⁰

See value for a lifetime with our industry-first Tube for Life guarantee¹​

See value for a lifetime with our industry-first Tube for Life guarantee¹​
The vMRC is no ordinary tube, and our industry-first Tube for Life guarantee can help lower operating costs by an estimated $420,000 over the life of your system.¹⁰

See value for a lifetime with our industry-first Tube for Life guarantee¹​

The vMRC is no ordinary tube, and our industry-first Tube for Life guarantee can help lower operating costs by an estimated $420,000 over the life of your system.¹⁰
Click here for more information
See value for a lifetime with our industry-first Tube for Life guarantee¹​¹
See value for a lifetime with our industry-first Tube for Life guarantee¹​

See value for a lifetime with our industry-first Tube for Life guarantee¹​

The vMRC is no ordinary tube, and our industry-first Tube for Life guarantee can help lower operating costs by an estimated $420,000 over the life of your system.¹⁰
  • Apply powerful AI reconstruction for lower dose, higher image quality
  • Advance your cardiac imaging capabilities
  • Improve image quality even at ultra-low dose levels​
  • Empower your workflow with a comprehensive suite of AI-enabled advances​
See all features
Apply powerful AI reconstruction for lower dose, higher image quality
Apply powerful AI reconstruction for lower dose, higher image quality

Apply powerful AI reconstruction for lower dose, higher image quality

Discover Precise Image AI-based reconstruction for lower dose and higher image quality. Simultaneously, you can see 80% lower radiation dose, 85% lower noise and 60% improved low-contrast detectability.²

Apply powerful AI reconstruction for lower dose, higher image quality

Apply powerful AI reconstruction for lower dose, higher image quality
Discover Precise Image AI-based reconstruction for lower dose and higher image quality. Simultaneously, you can see 80% lower radiation dose, 85% lower noise and 60% improved low-contrast detectability.²

Apply powerful AI reconstruction for lower dose, higher image quality

Discover Precise Image AI-based reconstruction for lower dose and higher image quality. Simultaneously, you can see 80% lower radiation dose, 85% lower noise and 60% improved low-contrast detectability.²
Click here for more information
Apply powerful AI reconstruction for lower dose, higher image quality
Apply powerful AI reconstruction for lower dose, higher image quality

Apply powerful AI reconstruction for lower dose, higher image quality

Discover Precise Image AI-based reconstruction for lower dose and higher image quality. Simultaneously, you can see 80% lower radiation dose, 85% lower noise and 60% improved low-contrast detectability.²
Advance your cardiac imaging capabilities
Advance your cardiac imaging capabilities

Advance your cardiac imaging capabilities

Precise Image for advanced cardiac scanning helps you take clinical confidence to the next level. See why CT 5300 is built for cardiac. Precise Cardiac retrospectively compensates for cardiac motion to improve visualization of the coronary arteries during CT imaging. This improves diagnostic confidence in challenging patients with high heart rates.

Advance your cardiac imaging capabilities

Advance your cardiac imaging capabilities
Precise Image for advanced cardiac scanning helps you take clinical confidence to the next level. See why CT 5300 is built for cardiac. Precise Cardiac retrospectively compensates for cardiac motion to improve visualization of the coronary arteries during CT imaging. This improves diagnostic confidence in challenging patients with high heart rates.

Advance your cardiac imaging capabilities

Precise Image for advanced cardiac scanning helps you take clinical confidence to the next level. See why CT 5300 is built for cardiac. Precise Cardiac retrospectively compensates for cardiac motion to improve visualization of the coronary arteries during CT imaging. This improves diagnostic confidence in challenging patients with high heart rates.
Click here for more information
Advance your cardiac imaging capabilities
Advance your cardiac imaging capabilities

Advance your cardiac imaging capabilities

Precise Image for advanced cardiac scanning helps you take clinical confidence to the next level. See why CT 5300 is built for cardiac. Precise Cardiac retrospectively compensates for cardiac motion to improve visualization of the coronary arteries during CT imaging. This improves diagnostic confidence in challenging patients with high heart rates.
Improve image quality even at ultra-low dose levels​
Improve image quality even at ultra-low dose levels​

Improve image quality even at ultra-low dose levels​

The new NanoPanel Precise detector paired with Precise Image allows for improved image quality, even at ultra-low dose levels.

Improve image quality even at ultra-low dose levels​

Improve image quality even at ultra-low dose levels​
The new NanoPanel Precise detector paired with Precise Image allows for improved image quality, even at ultra-low dose levels.

Improve image quality even at ultra-low dose levels​

The new NanoPanel Precise detector paired with Precise Image allows for improved image quality, even at ultra-low dose levels.
Click here for more information
Improve image quality even at ultra-low dose levels​
Improve image quality even at ultra-low dose levels​

Improve image quality even at ultra-low dose levels​

The new NanoPanel Precise detector paired with Precise Image allows for improved image quality, even at ultra-low dose levels.
Empower your workflow with a comprehensive suite of AI-enabled advances​
Empower your workflow with a comprehensive suite of AI-enabled advances​

Empower your workflow with a comprehensive suite of AI-enabled advances​

An intuitive user interface and smart automation let you focus on your patients rather than on repetitive system tasks. The Precise Position AI-enabled smart positioning camera saves time while improving accuracy of vertical centering relative to manual positioning by up to 50%, increasing consistency from user to user by up to 70% and reducing patient positioning time by up to 23%³. Precise Rib⁴ offers fast results for assessing rib fractures in critical patients to help speed up time to diagnosis. Precise Spine automatically labels the vertebrae and creates an axial series of images, based on the spinal cord.

Empower your workflow with a comprehensive suite of AI-enabled advances​

Empower your workflow with a comprehensive suite of AI-enabled advances​
An intuitive user interface and smart automation let you focus on your patients rather than on repetitive system tasks. The Precise Position AI-enabled smart positioning camera saves time while improving accuracy of vertical centering relative to manual positioning by up to 50%, increasing consistency from user to user by up to 70% and reducing patient positioning time by up to 23%³. Precise Rib⁴ offers fast results for assessing rib fractures in critical patients to help speed up time to diagnosis. Precise Spine automatically labels the vertebrae and creates an axial series of images, based on the spinal cord.

Empower your workflow with a comprehensive suite of AI-enabled advances​

An intuitive user interface and smart automation let you focus on your patients rather than on repetitive system tasks. The Precise Position AI-enabled smart positioning camera saves time while improving accuracy of vertical centering relative to manual positioning by up to 50%, increasing consistency from user to user by up to 70% and reducing patient positioning time by up to 23%³. Precise Rib⁴ offers fast results for assessing rib fractures in critical patients to help speed up time to diagnosis. Precise Spine automatically labels the vertebrae and creates an axial series of images, based on the spinal cord.
Click here for more information
Empower your workflow with a comprehensive suite of AI-enabled advances​
Empower your workflow with a comprehensive suite of AI-enabled advances​

Empower your workflow with a comprehensive suite of AI-enabled advances​

An intuitive user interface and smart automation let you focus on your patients rather than on repetitive system tasks. The Precise Position AI-enabled smart positioning camera saves time while improving accuracy of vertical centering relative to manual positioning by up to 50%, increasing consistency from user to user by up to 70% and reducing patient positioning time by up to 23%³. Precise Rib⁴ offers fast results for assessing rib fractures in critical patients to help speed up time to diagnosis. Precise Spine automatically labels the vertebrae and creates an axial series of images, based on the spinal cord.
Do more while spending more time with your patient​
Do more while spending more time with your patient​

Do more while spending more time with your patient​

OnPlan patient-side gantry controls allow you to do more while you're with your patient, while facilitating inter-operator consistency and reducing time to results. 84% of users agree that patient-side gantry controls have improved patient satisfaction.⁵ OnPlan functionality and CT Smart Workflow combine to reduce total lung screening workflow time by 50%.⁶

Do more while spending more time with your patient​

Do more while spending more time with your patient​
OnPlan patient-side gantry controls allow you to do more while you're with your patient, while facilitating inter-operator consistency and reducing time to results. 84% of users agree that patient-side gantry controls have improved patient satisfaction.⁵ OnPlan functionality and CT Smart Workflow combine to reduce total lung screening workflow time by 50%.⁶

Do more while spending more time with your patient​

OnPlan patient-side gantry controls allow you to do more while you're with your patient, while facilitating inter-operator consistency and reducing time to results. 84% of users agree that patient-side gantry controls have improved patient satisfaction.⁵ OnPlan functionality and CT Smart Workflow combine to reduce total lung screening workflow time by 50%.⁶
Click here for more information
Do more while spending more time with your patient​
Do more while spending more time with your patient​

Do more while spending more time with your patient​

OnPlan patient-side gantry controls allow you to do more while you're with your patient, while facilitating inter-operator consistency and reducing time to results. 84% of users agree that patient-side gantry controls have improved patient satisfaction.⁵ OnPlan functionality and CT Smart Workflow combine to reduce total lung screening workflow time by 50%.⁶
Access enhanced capabilities for fast, confident interventional procedures​
Access enhanced capabilities for fast, confident interventional procedures​

Access enhanced capabilities for fast, confident interventional procedures​

New interventional controls, along with dual monitors, help reduce interventional procedure time by up to 16%.⁷ Bull’s-eye needle guidance enhances workflow for quick, confident interventional CT procedures, while the new Interventional Helical Check allows the operator to confirm treatment success in just one click.

Access enhanced capabilities for fast, confident interventional procedures​

Access enhanced capabilities for fast, confident interventional procedures​
New interventional controls, along with dual monitors, help reduce interventional procedure time by up to 16%.⁷ Bull’s-eye needle guidance enhances workflow for quick, confident interventional CT procedures, while the new Interventional Helical Check allows the operator to confirm treatment success in just one click.

Access enhanced capabilities for fast, confident interventional procedures​

New interventional controls, along with dual monitors, help reduce interventional procedure time by up to 16%.⁷ Bull’s-eye needle guidance enhances workflow for quick, confident interventional CT procedures, while the new Interventional Helical Check allows the operator to confirm treatment success in just one click.
Click here for more information
Access enhanced capabilities for fast, confident interventional procedures​
Access enhanced capabilities for fast, confident interventional procedures​

Access enhanced capabilities for fast, confident interventional procedures​

New interventional controls, along with dual monitors, help reduce interventional procedure time by up to 16%.⁷ Bull’s-eye needle guidance enhances workflow for quick, confident interventional CT procedures, while the new Interventional Helical Check allows the operator to confirm treatment success in just one click.
Connect and collaborate for productivity​
Connect and collaborate for productivity​

Connect and collaborate for productivity​

Extend your team’s capabilities with Virtual Imaging tools for collaboration, educate and train your team over the lifetime of your scanner, and facilitate remote exam card management to standardize protocols.

Connect and collaborate for productivity​

Connect and collaborate for productivity​
Extend your team’s capabilities with Virtual Imaging tools for collaboration, educate and train your team over the lifetime of your scanner, and facilitate remote exam card management to standardize protocols.

Connect and collaborate for productivity​

Extend your team’s capabilities with Virtual Imaging tools for collaboration, educate and train your team over the lifetime of your scanner, and facilitate remote exam card management to standardize protocols.
Click here for more information
Connect and collaborate for productivity​
Connect and collaborate for productivity​

Connect and collaborate for productivity​

Extend your team’s capabilities with Virtual Imaging tools for collaboration, educate and train your team over the lifetime of your scanner, and facilitate remote exam card management to standardize protocols.
Future proof your investment through AI-enabled clinical applications and service innovations
Future proof your investment through AI-enabled clinical applications and service innovations

Future proof your investment through AI-enabled clinical applications and service innovations

CT 5300 is designed to seamlessly integrate Philips and third-party applications directly into the workflow to enhance clinical decisions and patient triage. Connect to new AI-enabled applications and tools as the AI marketplace evolves. Remote service capabilities and AI-driven service innovations enhance system performance and uptime. Upgradeable platforms and flexible business models help your department maintain speed and performance.

Future proof your investment through AI-enabled clinical applications and service innovations

Future proof your investment through AI-enabled clinical applications and service innovations
CT 5300 is designed to seamlessly integrate Philips and third-party applications directly into the workflow to enhance clinical decisions and patient triage. Connect to new AI-enabled applications and tools as the AI marketplace evolves. Remote service capabilities and AI-driven service innovations enhance system performance and uptime. Upgradeable platforms and flexible business models help your department maintain speed and performance.

Future proof your investment through AI-enabled clinical applications and service innovations

CT 5300 is designed to seamlessly integrate Philips and third-party applications directly into the workflow to enhance clinical decisions and patient triage. Connect to new AI-enabled applications and tools as the AI marketplace evolves. Remote service capabilities and AI-driven service innovations enhance system performance and uptime. Upgradeable platforms and flexible business models help your department maintain speed and performance.
Click here for more information
Future proof your investment through AI-enabled clinical applications and service innovations
Future proof your investment through AI-enabled clinical applications and service innovations

Future proof your investment through AI-enabled clinical applications and service innovations

CT 5300 is designed to seamlessly integrate Philips and third-party applications directly into the workflow to enhance clinical decisions and patient triage. Connect to new AI-enabled applications and tools as the AI marketplace evolves. Remote service capabilities and AI-driven service innovations enhance system performance and uptime. Upgradeable platforms and flexible business models help your department maintain speed and performance.
Reduce unplanned downtime with Remote Maintenance Services​
Reduce unplanned downtime with Remote Maintenance Services​

Reduce unplanned downtime with Remote Maintenance Services​

Proactive and remote service maintenance allows us to resolve many issues without the need for on-site service. Philips predictively monitors more than 20 strategic parts, along with system performance so that 38% of issues are resolved without the need for on-site service and with a high first-time-fix rate of 84% for on-site visits, improving system availability⁸. That extra 136 hours/year⁹ and 30% less downtime⁹ offer many additional hours of operational availability to treat more patients.

Reduce unplanned downtime with Remote Maintenance Services​

Reduce unplanned downtime with Remote Maintenance Services​
Proactive and remote service maintenance allows us to resolve many issues without the need for on-site service. Philips predictively monitors more than 20 strategic parts, along with system performance so that 38% of issues are resolved without the need for on-site service and with a high first-time-fix rate of 84% for on-site visits, improving system availability⁸. That extra 136 hours/year⁹ and 30% less downtime⁹ offer many additional hours of operational availability to treat more patients.

Reduce unplanned downtime with Remote Maintenance Services​

Proactive and remote service maintenance allows us to resolve many issues without the need for on-site service. Philips predictively monitors more than 20 strategic parts, along with system performance so that 38% of issues are resolved without the need for on-site service and with a high first-time-fix rate of 84% for on-site visits, improving system availability⁸. That extra 136 hours/year⁹ and 30% less downtime⁹ offer many additional hours of operational availability to treat more patients.
Click here for more information
Reduce unplanned downtime with Remote Maintenance Services​
Reduce unplanned downtime with Remote Maintenance Services​

Reduce unplanned downtime with Remote Maintenance Services​

Proactive and remote service maintenance allows us to resolve many issues without the need for on-site service. Philips predictively monitors more than 20 strategic parts, along with system performance so that 38% of issues are resolved without the need for on-site service and with a high first-time-fix rate of 84% for on-site visits, improving system availability⁸. That extra 136 hours/year⁹ and 30% less downtime⁹ offer many additional hours of operational availability to treat more patients.
See value for a lifetime with our industry-first Tube for Life guarantee¹​¹
See value for a lifetime with our industry-first Tube for Life guarantee¹​

See value for a lifetime with our industry-first Tube for Life guarantee¹​

The vMRC is no ordinary tube, and our industry-first Tube for Life guarantee can help lower operating costs by an estimated $420,000 over the life of your system.¹⁰

See value for a lifetime with our industry-first Tube for Life guarantee¹​

See value for a lifetime with our industry-first Tube for Life guarantee¹​
The vMRC is no ordinary tube, and our industry-first Tube for Life guarantee can help lower operating costs by an estimated $420,000 over the life of your system.¹⁰

See value for a lifetime with our industry-first Tube for Life guarantee¹​

The vMRC is no ordinary tube, and our industry-first Tube for Life guarantee can help lower operating costs by an estimated $420,000 over the life of your system.¹⁰
Click here for more information
See value for a lifetime with our industry-first Tube for Life guarantee¹​¹
See value for a lifetime with our industry-first Tube for Life guarantee¹​

See value for a lifetime with our industry-first Tube for Life guarantee¹​

The vMRC is no ordinary tube, and our industry-first Tube for Life guarantee can help lower operating costs by an estimated $420,000 over the life of your system.¹⁰

Specifications

CT 5300 - Specifications
CT 5300 - Specifications
Generator Power:
  • 80 kW
kVp settings:
  • 70, 80, 100, 120,140 kV
Slices:
  • Up to 128 slices
Bore Size:
  • 72 cm
Reconstruction speed:
  • Up to 100 IPS
Tube Capacity:
  • 8 MHU
Detector:
  • NanoPanel Precise
Coverage:
  • 40 mm
Rotation Speed:
  • Up to 0.35s
Scannable range:
  • Up to 2.000 mm
CT 5300 - Specifications
CT 5300 - Specifications
Generator Power:
  • 80 kW
kVp settings:
  • 70, 80, 100, 120,140 kV
See all specifications
CT 5300 - Specifications
CT 5300 - Specifications
Generator Power:
  • 80 kW
kVp settings:
  • 70, 80, 100, 120,140 kV
Slices:
  • Up to 128 slices
Bore Size:
  • 72 cm
Reconstruction speed:
  • Up to 100 IPS
Tube Capacity:
  • 8 MHU
Detector:
  • NanoPanel Precise
Coverage:
  • 40 mm
Rotation Speed:
  • Up to 0.35s
Scannable range:
  • Up to 2.000 mm
  • Results from case studies are not predictive of results in other cases. Results in other cases may vary.
  • 1. Life of the product is defined by Philips as 10 years. Tube for Life guarantee availability varies by country. Please contact your local Philips sales representative for details. ​
  • 2. In clinical practice, the use of Precise Image may reduce CT patient dose depending on the clinical task, patient size, and anatomical location. A consultation with a radiologist and a physicist should be made to determine the appropriate dose to obtain diagnostic image quality for the particular clinical task. Dose reduction assessments were performed using reference body protocols with 1.0 mm slices at the “Smoother” setting, and tested on the MITA CT IQ Phantom (CCT189, The Phantom Laboratory) assessing the 10 mm pin and compared to filtered-back projection. A range is seen across the four pins, using a channelized hoteling observer tool, that includes lower image noise by 85% and improved low-contrast detectability from 0% to 60% at 50% to 80% dose reduction. NPS curve shift is used to evaluate image appearance, as measured on a 20 cm water phantom in the center 50 mm x 50 mm region of interest, with an average shift of 6% or less. Data on file.​
  • 3. Based on Philips in-house assessment by five clinical experts, comparing manual positioning versus Precise Position in 40 clinical cases using a human body phantom.​
  • 4. This product is not commercially available for sale in the USA.​
  • 5. Quantitative Report 2020 Incisive CT. The MarketTech Group. November, 2020.​
  • 6. Based on Philips in-house assessment by five clinical experts, comparing manual versus CT Smart Workflow and OnPlan in five clinical cases using a human phantom. Results may vary in different environments.​
  • 7. Chacko C. Precise Intervention Clinical Review Report for Loong. Philips Doc ID: D000874955. 2021. ​
  • 8. Philips internal data. Case Resolution Dashboard in Qlikview, May 2021 to March 2022. Data shown is an average based on a comparison of remotely connected CT systems.​
  • 9. Data is based on the comparison between remotely connected/reachable and non-remotely connected/non-reachable systems. Data sample from August 2021 to July 2022 for all CT Brilliance Air Product Line, iCT Product Line, Ingenuity Product Line, Incisive and Spectral CT, which are with full remote capabilities under service contract (n=5144).​
  • 10. Actual operating costs for customers vary significantly because many variables exist (such as CT make and model, hospital or imaging center size, case mix, system usage). The potential savings identified estimates the avoidance of purchasing replacement tubes over a 10-year useful life of a CT system, based on an average selling price of $140,000 per replacement tube and estimated tube life of three years. There can be no guarantee that all customers will achieve this result.​

You are about to visit a Philips global content page

Continue

You are about to visit a Philips global content page

Continue

Our site can best be viewed with the latest version of Microsoft Edge, Google Chrome or Firefox.

Jūs ieejat Latvijas Philips Healthcare tīmekļa vietnē.
Please select the checkbox

Tīmekļa vietne ir paredzēta tikai personām, kuras izmanto medicīniskās ierīces kā profesionāļi, tostarp personām, kas praktizē medicīnas profesijās, personām, kas darbojas veselības aprūpes iestāžu labā vai organizācijām, kas tirgo medicīnas ierīces kā profesionāļi.

Vai esat persona, kas atbilst iepriekš minētajiem kritērijiem?